| 
      
        |  | Başlıklar |  
        
         |    Akut Lenfoblastik Lösemi“Diş eti ve burun kanaları, deride küçük  kırmızı döküntüler, ateş ve kansızlık akut lösemilerde sık görülen  belirtilerdir.” AKUT  LÖSEMİLER  Lösemi nedir?Kan kanseri olarak adlandırılan lösemi,  kemik iliğinin anormal hücreler ile dolması ve bu hücrelerin kana ve tüm  dokulara yayılması sonucu belirti veren malign (kötü huylu) bir hastalıktır. Akut lösemi ani başlar ve tedavi edilmezse kısa  sürede ölüme yol açar.
  Belirtileri  nedir?Kan pıhtılaşmasında rol oynayan trombositler ve  enfeksiyonlara karşı savunmada rol oynayan lökositlerin sayısı azalmaya başlar.  Trombosit düşüklüğü hastalarda morluk oluşumuna, deri ve burun kanamalarına yol  açarken, lökosit düşüklüğü yüksek ateş ve kolay enfeksiyon görülmesine neden  olur. Kırmızı kan hücresi eksikliği anemiye ve buna bağlı olarak, halsizliğe,  nefes darlığına, kolay yorulmaya neden olur. Bunun dışında kilo kaybı,  dişetlerinde şişkinlik ve eklem ağrıları  görülebilir.
  Lösemiler  nasıl sınıflandırılır?Lösemiler akut veya kronik olarak  sınıflandırılırlar. Genel olarak, akut lösemiler çocuklarda ortaya çıkarken,  kronik lösemiler daha çok yetişkinlerde görülme eğilimindedirler. Löseminin  hücre tipine göre miyeloid ve lenfoid olmak üzere ikiye ayrılır.
  Akut  Lenfoblastik Lösemi (ALL) nedir?  Lökositleri oluşturan hücrelerden lenfositler, kemik iliğinde bu serinin  genç hücreleri olan lenfoblastlardan meydana gelirler. Akut lenfoblastik lösemi  lenfoblastların anormal bir şekilde kontrolsüz ve aşırı çoğalmasından  oluşur.  Lenfoblastlar kemik iliğinde çoğalır  ve buradan kana ve  beyin-omurilik gibi  diğer organlara geçerler. ALL çocukluk dönemi lösemilerinin % 80 inden  sorumludur, 3-7 yaşları arasında sıktır. Erişkinlerde de görülebilir ve tüm  erişkin lösemilerinin % 20 ini oluşturur. Akut lenfoblastik lösemide  lenfoblastların olgunlaşma ve farklılaşma fonksiyonu kaybolmuştur. Bu hücreler  hızla çoğalıp normal hücrelerin yerini aldıkça kemik iliğinde eritrosit,  trombosit ve lökositlerin yapımı bozulur.
  Nedenleri nedir?  Çoğu olguda görünür bir sebep yoktur. Bununla birlikte radyasyon, benzen  gibi bazı toksinler ve bazı kemoterapi ajanları lösemi oluşumuna katkıda  bulunur. Kromozomlardaki anormallikler akut lösemi gelişiminde rol oynayabilir.  Risk faktörleri içinde Down sendromu, lösemili kardeş, radyasyona maruz kalma,  kimyasal maddeler ve ilaçlar sayılabilir.
  Belirtileri nedir?  Akut lenfoblastik lösemide AML’ye benzer şikâyetler görülür. Artan  lenfoblastların kemik iliğinde kan yapımını engellemesi nedeniyle anemi ve buna  bağlı olarak halsizlik, çabuk yorulma, hareketle artan nefes darlığı ve  solukluk meydana gelir. Trombositlerin sayısında yetersizliğe bağlı olarak,  ciltte morluk oluşması, toplu iğne başı büyüklüğünde kırmızı yaygın döküntüler,  burun ve diş eti kanamaları görülür. Artan lenfoblastlar bağışıklık  sistemindeki hücrelerin yapımını bozduğu için yüksek ateş, bademcik iltihabı ve  zatürree görülebilir. Lenfoblastların lenf bezleri, dalak ve karaciğerde  birikmesine bağlı olarak bu organlarda büyüme saptanabilir.
 Lenfoblastlardaki artış, kemik-eklem ağrılarına,  göğüs kemiğinde hassasiyete, solukluk,   baş ağrısı, iştahsızlık, bulantı, kusma ve kilo kaybına neden olur. Kan  sayımında kansızlık ve trombosit sayısında düşüklük sıklıkla saptanır.
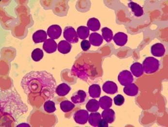
  Tanı/Teşhis nasıl konur?   Fizik muayenede büyümüş karaciğer-dalak, vücutta morluk ve kanama  bulguları, ateş yüksekliği saptanır. Tam kan sayımında, lökosit sayısında  anormallikler (lökosit sayısı yüksek, düşük veya nadiren normal olabilir),  anemi (kırmızı kan hücrelerinin azalması) ve trombosit sayısında azalma  saptanır. Periferik yaymada blastların görülmesi tanıyı destekler (Şekil).  Kesin tanı için kemik iliği biyopsisi yapılması gerekir. Biyopsi örneği özel  boyalarla boyanır ve akım sitometrisi ile incelenir. Kromozom anormalliklerinin  tayini için genetik inceleme yapılır.
 Şekil  ALL  de lenfoblastlar  
 Nasıl  tedavi edilir?  ALL’nin nedeni bilinmemektedir. Ancak kalıtsal yol  ile geçen veya bulaşıcı bir hastalık değildir. Çok sayıda ilaç ve kemoterapi  rejimi ALL’ de etkili olmasına rağmen en iyi tedavi rejimi belli değildir.  Merkezlere göre tedavi değişebilir. Tedavi, saptanan genetik bozukluğa, yaşa,  lökosit sayısına, lenfoblastların tipine göre de değişir. Tedavinin 4 temel  dönemi vardır: 1- Remisyon sağlanması, 2- Pekiştirme tedavisi, 3- Sinir  sistemini koruyucu tedavi, 4- İdame tedavisi.
  Remisyon ve remisyon indüksiyonu nedir?  Hastalığın  başlangıcında uygulanan bir tedavidir. Bu dönem 4-8 haftalık bir tedavidir ve  mutlaka hastanede yatırılarak yapılmalıdır. Sıklıkla vincristin ve daunoblastin,  idarubisin damar yoluyla, kortizon ise ağız veya damar yoluyla kullanılır.  Diğer ilaçlardan siklofosfamid, L-asparaginaz damardan veya kalçadan verilir.  Bu ilaçlar lösemik hücreleri öldürürken kansızlık, kanama ve ateş gibi yan  etkilerin ortaya çıkmasına neden olurlar.
 Yukarıda belirtilen ilaçlardan oluşan kemoterapi  protokolleri ile %75-85 oranında remisyon (kan sayımının normalleşmesi, kemik  iliğinde blast oranının %5’in altında olması ve hastanın şikayetlerinin  kaybolması) sağlanır. Ancak bu dönem, ilave tedavi verilmezse kısa sürelidir.  Çünkü başlangıçta vücutta bulunan lösemik hücrelerin az bir kısmı tedaviye  rağmen hala vücutta bulunurlar ve tedaviye devam edilmez ise hastalığın nüks  etmesine sebep olurlar. İyileşme (remisyon) sağlandıktan sonra beyin-omurilik  sıvısında bulunan lösemik hücrelerin tedavisi için bel kemiğine kemoterapi  ve/veya radyoterapi uygulanır. Çünkü remisyon indüksiyonunda kullanılan  ilaçların çoğu beyin ve omuriliğe ulaşamazlar. Remisyon sağlanan hastaların  nüks etmemesi için pekiştirme ve idame tedavileri verilir. Bu tedaviler  nüksleri önlemeye ve şifa sağlamaya yöneliktir.
 Pekiştirme tedavisi AML'de olduğu gibi kemoterapi  veya kök hücre nakli yoluyla olmaktadır. Hastanın alacağı tedaviye karar  verilirken risk faktörlerine dikkat edilir. Remisyona geç giren hastalar, bazı  genetik bozukluğu olanlar (Philadelphia kromozom varlığı), başlangıçtaki  lökosit seviyesi yüksek olanlar ve belli bir yaşın üstünde olanlar yüksek  riskli grubu oluştururlar. Yüksek riskli hastalarda uygun vericileri varsa  pekiştirme tedavisi olarak allojenik kök hücre nakli önerilir. Yüksek risk  dışındaki hastalar ise standart risk grubunu oluştururlar. Bu hastalarda  kemoterapi veya kök hücre nakli yapılabilir.
 Pekiştirme tedavisi :  Remisyon sağlanan hastalarda ilave tedavi  verilmezse hastalık tekrarlar (nüks). Çünkü kemik iliği ve kan sayımlarında  saptanamamasına rağmen vücutta gizli kalan çok az sayıda blast vardır.  Pekiştirme tedavisi ya remisyonda verilen tedavinin tekrarı veya farklı  kemoterapi protokollerinin verilmesinden oluşan kemoterapi ya da allojenik kök  hücre naklinden oluşur. Pekiştirme tedavisi olarak hangi tedavinin  seçileceğine, risk faktörlerine ve uygun vericinin olup olmadığına bakılarak  karar verilir.  Bu dönemde beyin ve  omurilikte saklanmış blastların nüks etmesini engellemek amacıyla sinir  sistemini koruyucu tedavi verilir. Koruyucu tedavi belden özel iğne yardımıyla  kemoteropatik ilaç verilmesi ile sıklıkla başa ve omurgaya radyoterapi  verilmesinden meydana gelir.
 Kemik iliği nakli :  Kemik iliği nakli her hastaya önerilmez. İlik  nakli AML’de bahsedildiği gibi allojenik ve otolog olmak üzere ikiye ayrılır.  Allojenik kemik iliği nakli nüks eden, remisyon tedavisine yanıt alınamayan ve  yüksek riskli (9-22 kromozom bozukluğu olan, remisyona geç giren lökosit sayısı  çok yüksek olan) hastalara yapılır.
 İdame tedavisi:  İdame tedavisi daha hafif kemoteropati protokollerinin  genellikle 2-3 yıl verilmesinden oluşur. Bu tedavi için hastanın hastanede  yatması gerekli değildir. İdame tedavisi için Methotrexate kortizon,  Mercaptopurin ve Vincristine, kullanılır. Bu dönemde kan tahlillerine göre  alınan ilaçların dozları ayarlanır. Vincristine bağlı el ve ayak uyuşmaları ve  kortizona bağlı mide şikayetleri, tansiyon, kemik erimesi ve kan şekeri  yönünden hasta aralıklarla kontrol edilir. Hastalara 2 yıl süreyle 3-6 ayda bir  kemik iliği biyopsisi yapılması gerekir. Genellikle 5 yıl hastalığı nüks etmeyenlerin  şifa olduğu yani hastalığın tekrarlamayacağı kabul edilir.
 AML / ALL’de Dikkat Edilmesi Gereken Hususlar  Akut lösemi tedavisinde kullanılan kemoterapik ilaçlar  kemik iliğini baskıladıkları için kemoterapi sırasında hastaların eritrosit,  trombosit süspansiyonuna ihtiyaçları olur. Trombosit süspansiyonlarının  hazırlanması için gönüllü vericilerin temininde hasta yakınlarından yardım  istenebilir. Bu dönemde hastaların lökositleri de düştüğü için mikroplara karşı  daha duyarlı hale gelirler. Bu yüzden lökositlerin düşük olduğu dönemde hasta  ziyaretlerinin sınırlandırılması ve hastalara hastane dışından yiyecek ve  içecek getirilmemesine özellikle dikkat edilmesi gerekmektedir. Hastane  kurallarına mutlaka uyulmalıdır. Grip / nezle gibi bulaşıcı hastalıkların  yaygın olduğu dönemlerde hasta olan hiç kimse hastaneye gitmemelidir. Oda  ziyaretine izin verilen hastaların odasına ziyaretçiler sıra ile girmeli ve bir  kişiden fazla ziyaretçi aynı anda odada bulunmamalıdır.
 Kemik  iliği aspirasyon ve biyopsisi nedir, nasıl yapılır?  Göğüsteki iman tahtası (sternum) ya da kalça  kemiğine özel bir iğne ile girilerek kemik iliğinin enjektör yardımı ile  alınmasıdır.  İliğin alınacağı bölge  temizlendikten sonra bölgesel anestezi ile uyuşturulur. Böylelikle hasta ağrı  duymaz. Ancak iliğin çekilmesi esnasında vakuma bağlı olarak bir çekilme hissi  duyulur.  Biyopside ise kemik iliği  aspirasyonu gibi kalça kemiğine özel iğne yardımıyla, lokal anestezi altında  girilir ve küçük bir örnek alınır.
 Şekil: Aspirasyon biyopsisinin yapılışı
 
 Kullanılan  ilaçlar kısırlık yapar mı?
  Hastaların çoğu yüksek dozlarda kemoterapiler  aldıklarından kısırlık (infertilite) olabilir. Erkek hastalarda tedavi öncesi  sperm dondurulması önerilir. Bayan hastalar için durum biraz daha güçtür. Zira  yumurta dondurulması işlemindeki başarı oranı çok düşüktür. Embriyo  dondurulmasının sonuçları daha iyidir. Ancak ülkemiz yasaları ancak resmi  olarak evli çiftlere embriyo dondurma hakkını vermektedir.
 KaynaklarKan Hastalıkları Merak Ettikleriniz Prof. Dr.  Ahmet Öztürk
 Swerdlow S., Campo E., Lee Haris N., Jaffe E.S.,  Pileri S., Stein H., Thiele J., Vardiman J.W., WHO classification of tumors of  hematopoetic and lymphoid tissues 2008.
 Greer j., Foerster j., Rodgers G., Paraskevas F.,  Glader B., Arber D.A., Means R., Wintrobe’s Clinical Hematology 2009.
 Hoffman R., Benz E.J., Shattil S.J., Furie B.,  Silberstein L.E., McGlave P., Heslop H., Hematology Basic Principles and  Practice 2009.
 |